Skip Navigation

Smile Gallery

Implant Surgery Results

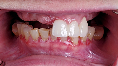
Case 1

Implant surgery case 0 before

Before Surgery: Patient needs a Single Tooth Replacement of one Upper Central Incisor.

Implant surgery case 0 after

After Surgery: Smile and function restored with a Single Implant and an All Porcelain Crown (Cap) that fits securely over the implant.

Case 2

Implant surgery case 1 before 1

Before Surgery

Implant surgery case 1 after 1

After Surgery

Implant surgery case 1 before 2

Before Surgery

Implant surgery case 1 after 2

After Surgery

Implant surgery case 1 after 3

After Surgery

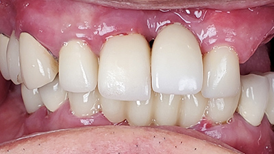
Case 3

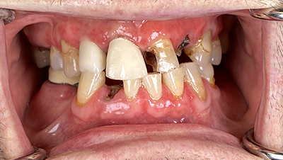
Implant surgery case 2 before 1

Before Surgery

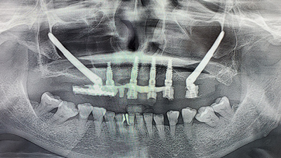
Implant surgery case 2 after 1

After Surgery

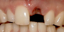
Implant surgery case 2 before 2

Before Surgery

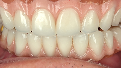
Implant surgery case 2 after 2

After Surgery

Implant surgery case 2 after 3

After Surgery

Case 4

Implant surgery case 3 before 1

Before Surgery

Implant surgery case 3 after 1

After Surgery

Implant surgery case 3 before 2

Before Surgery

Implant surgery case 3 after 2

After Surgery

Implant surgery case 3 after 3

After Surgery

Case 5

Implant surgery case 4 before 1

Before Surgery

Implant surgery case 4 after 1

After Surgery

Implant surgery case 4 before 2

Before Surgery

Implant surgery case 4 after 2

After Surgery

Implant surgery case 4 after 3

After Surgery

Case 6

Implant surgery case 5 before 1

Before Surgery

Implant surgery case 5 after 1

After Surgery

Implant surgery case 5 before 2

Before Surgery

Implant surgery case 5 after 2

After Surgery

Implant surgery case 5 after 3

After Surgery

Orthognathic (Jaw) Results

Case 1

Jaw surgery case 1 before

Before Surgery

Jaw surgery case 1 after

After Surgery

Case 2

Jaw surgery case 2 before

Before Surgery

Jaw surgery case 2 after

After Surgery

Case 3

Jaw surgery case 3 before

Before Surgery

Jaw surgery case 3 after

After Surgery

Case 4

Jaw surgery case 4 before

Before Surgery

Jaw surgery case 4 after

After Surgery

Case 5

Jaw surgery case 5 before

Before Surgery

Jaw surgery case 5 after

After Surgery

Learn More

Contact one of our offices to schedule an appointment or explore our website to learn more.